El género Aspergillus comprende alrededor de 180 especies, son hongos filamentosos, hialinos y ubicuos. Se reproducen asexualmente por conidias que se originan de grupos de fiálides localizadas en un ensanchamiento terminal del conidióforo (vesícula) (Figura 1).
Figura 1. Estructuras de reproducción asexual de Aspergillus sp. Cabeza aspergilar donde se observa el conidióforo, vesículas, fiálides y cadenas de fialoconidias, estructuras todas ellas que intervienen en la reproducción asexual de los hongos de este género.
En estos hongos se ha descubierto su fase de reproducción sexual y se ubican dentro de la división Ascomycota. Son organismos heterotálicos y la unión de hifas de sexo diferente origina la formación de ascas que contienen ascosporas, tanto las ascas como las ascosporas están contenidas en un cuerpo fructífero que puede ser redondo y cerrado que se conoce como cleistotecio, o bien, puede tener forma de pera llamado peritecio (Figura 2).
Aunque conocer la forma de reproducción sexual es de gran utilidad para estudios taxonómicos, fisiológicos y de reproducción, las enfermedades causadas por estos hongos se presentan cuando el hongo se reproduce asexualmente.
Los hongos de este género, tienen gran potencial biótico y son degradadores activos del material orgánico y en consecuencia muy útiles en la ecología del planeta. Sin embargo, causan enfermedades en el humano y animales por tres mecanismos diferentes:
a) Hipersensibilidad. Esta puede ser congénita y en estos casos Aspergillus sólo actúa como lo harían otros antígenos ambientales por ejemplo, polvo o pólenes ocasionando desde una rinitis alérgica, hasta un asma crónico severo, los pacientes tienen concentración elevada de IgE. En otros casos, las personas pueden hacerse hipersensibles a los hongos de este género, si trabajan en sitios con altos niveles de contaminación por el agente, como puede ocurrir en los silos donde se almacenan granos en malas condiciones de humedad y temperatura, en estos casos se incrementa la concentración de IgG.
b) Intoxicación por ingesta de metabolitos fúngicos (micotoxicosis). En estos casos, substancias como las aflatoxinas producidas durante el crecimiento de A. flavus cuando se desarrolla abundantemente sobre alimentos, puede causar daños a diversos órganos, aún cuando al momento de la ingesta, el hongo ya no esté presente. Se ha demostrado el potencial hepatotóxico y cancerígeno de muchos metabolitos como las aflatoxinas y ocratoxinas de diversas especies de Aspergillus; y otras como la gliotoxina en estudios de laboratorio ha mostrado tener un efecto inmunosupresor.
c) Invasión (micosis). El sufijo “osis” se refiere a enfermedad o invasión, como en todas las infecciones, se substituye la última sílaba por el sufijo y entonces cuando decimos aspergilosis nos referimos a la invasión de tejidos y órganos por hongos de este género. Los hongos del género Aspergillus, son capaces de invadir porque producen diversas enzimas inducidas como lipasas o proteasas, elastasas o DNAsas. A pesar de la diversidad de substancias potencialmente patógenas, las infecciones humanas generalmente requieren de factores predisponentes, entre los más importantes tenemos los que se muestran en el Cuadro. 1
Figura 2. Reproducción sexual y asexual de Eurotium rubrum. En este caso, las ascas y ascosporas se encuentran dentro de un cleistotecio. (Figura 278. Tomada de Herrera T, Ulloa M. El Reino de los Hongos 2ª. Edición. Fondo de Cultura Económica-UNAM. México 2003).
A continuación se describirán las principales formas clínicas de esta infección:
Aspergilosis pulmonar.
Aspergiloma. Con este término se refiere la formación de una masa fúngica en los pulmones de personas que tienen cavidades formadas previamente sin la participación de Aspergillus. Esto es, puede tratarse de pacientes que tiempo atrás sufrieron una tuberculosis cavitaria de la que incluso pueden haber sanado, sin embargo, si por accidente conidias de Aspergillus se depositan en la cavidad, entonces el hongo formará una masa fúngica que ocupara todo el espacio existente y posteriormente ocasionar inflamación y erosión de las paredes de la cavidad que se manifestaría clínicamente como hemoptisis. En las radiografías o tomografías se observará una masa redonda u ovoide en campos pulmonares que no presenta niveles hidro-aéreos (Figura 3).
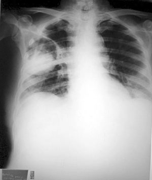
Figura 3. Aspergiloma en el área central del campo pulmonar derecho. El paciente había presentado tuberculosis 5 años antes con resolución de la infección. Dr. LJ Méndez Tovar. Figura 4. Paciente femenina con aspergilosis pulmonar invasiva que presenta infiltrados difusos que afectan ambos campos pulmonares. Dr. LJ Méndez Tovar.
Figura 4. Paciente femenina con aspergilosis pulmonar invasiva que presenta infiltrados difusos que afectan ambos campos pulmonares. Dr. LJ Méndez Tovar.
Un diagnóstico diferencial importante en los estudios radiológicos de estos pacientes es la presencia de cáncer pulmonar. En estos casos, los pacientes generalmente no están inmunosuprimidos al momento de presentar el aspergiloma, sin embargo, si se provocan lesiones de un gran vaso, los pacientes pueden fallecer.
Aspergilosis invasiva.
Se presenta en pacientes con inmunosupresión severa como son los leucémicos, cancerosos o personas con tratamiento esteroideo de larga duración, en estos pacientes los macrófagos alveolares son incapaces de eliminar las conidias que aunque en escasa cantidad habitualmente llegan a las vías respiratorias inferiores, entonces, éstas se desarrollan formando filamentos dentro del parénquima pulmonar provocando múltiples focos invasivos generalmente pequeños pero diseminados.
Los pacientes presentan sintomatología de una neumonía: disnea, tos, hipertermia y diaforesis. En las placas de rayos x, se observan infiltrados diseminados no característicos (Figura 4).
Queratitis aspergilar.
Se presenta casi siempre como consecuencia de un traumatismo ocular con material vegetal contaminado con Aspergillus. La lesión inicialmente se manifiesta como un cuadro de conjuntivitis que se agrava pudiendo ocasionar perforación corneal y pérdida del ojo afectado.
Aspergilosis cutánea.
Generalmente se presenta en pacientes con quemaduras de 2º o 3er grado en quienes el área afectada denudada, con restos celulares y exudado rico en proteínas, carbohidratos y lípidos se convierte en un excelente medio de cultivo para conidias del ambiente que puedan caer y desarrollarse. En estos pacientes el pronóstico es bueno ya que la infección desaparece utilizando simplemente medidas higiénicas. En algunos pacientes las infecciones cutáneas se presentan por diseminación por vía sanguínea de infecciones en otros sitios, en ellos, la infección generalmente es grave y muchas veces mortal.
Sinusitis.
Se presenta en pacientes con infecciones bacterianas frecuentes, se asocian al uso de antiinflamatorios o vasoconstrictores tópicos o sistémicos combinados con antibacterianos de amplio espectro. También pueden ocurrir en personas sin factor predisponente personal, pero que habiten en áreas con clima tropical.
La sintomatología es la de un cuadro típico de sinusitis con hipertermia, cefalea, dolor de la cara, sensación de pesadez de la cabeza, conjuntivitis y rinorrea. El tratamiento en estos casos además del antimicótico puede requerir de una limpieza quirúrgica.
En algunos pacientes hongos de este género pueden desarrollarse formando verdaderas masas tumorales (aspergilomas) en los senos nasales o paranasales. En estos casos ocasionan lesiones destructivas y en las piezas quirúrgicas es posible observar los micelios muchas veces combinados con conidias.
Otitis externa.
Generalmente hay el antecedente de uso de prótesis auditivas, las que ocluyen al conducto auditivo externo (CAE) forman un nicho de elevada temperatura y humedad propicio para el desarrollo de Aspergillus spp. Los pacientes refieren hipoacusia y prurito. La exploración clínica asistida con otoscopio generalmente muestra el CAE revestido por una colonia del agente causal. La eliminación de la infección puede dificultarse si no se retira la prótesis al menos temporalmente.
Otros órganos.
Los hongos de este género tienen capacidad de invadir cualquier órgano como: corazón, riñón, hígado o piel. Estos pacientes generalmente presentan una inmunosupresión severa y pueden morir a consecuencia de la micosis.
Diagnóstico.
– Microbiológico.
Si hay exudados se debe hacer examen directo, frotis y cultivo. El examen directo aclarado con hidróxido de potasio o teñido con un colorante simple, en ocasiones permite visualizar las hifas hialinas y septadas y las cabezas aspergilares (Fig. 5a).
Figura 5a. Izquierda. Examen directo de aspirado bronquial en un paciente con aspergilosis pulmonar invasiva, se observan filamentos hialinos septados. Derecha. Examen directo de exudado de senos nasales de un paciente con sinusitis donde se observa restos celulares y cabezas aspergilares. Dr. LJ Méndez Tovar.
En el frotis teñido con Gram, observamos los filamentos septados de aproximadamente 5 a 7 µm de diámetro, ramificados en ángulo de 45º. Las estructuras micóticas, generalmente se tiñen de manera irregular (Figura 5b).
Figura 5b. Frotis de aspirado bronquial teñido con Gram. Se observan filamentos septados y las ramificaciones en ángulos cercanos a 45º que sugieren infección por Aspergillus sp. Dr. LJ Méndez Tovar.
Aunque los especimenes deben sembrarse en medio de agar dextrosa Sabouraud (ADS) simple y ADS con antibióticos, este género de hongos es sensible a la cicloheximida, por lo que sólo se desarrolla sobre ADS simple. El estudio macroscópico y microscópico de las colonias generalmente permite identificar a los tres principales agentes de esta infección que son: A. fumigatus, A. niger y A. flavus (Figuras 6 – 8).
Figura 6. Morfología de A. fumigatus. Colonia plana, de aspecto aterciopelado, de color verde olivo con la periferia con un halo claro. El estudio microscópico teñido con azul de algodón permite visualizar cabezas aspergilares con fiálides que sólo ocupan la parte superior de la vesícula, las conidias son incoloras y miden 2 a 3 µm. Dr. LJ Méndez Tovar.
Figura 6. Morfología de A. fumigatus. Colonia plana, de aspecto aterciopelado, de color verde olivo con la periferia con un halo claro. El estudio microscópico teñido con azul de algodón permite visualizar cabezas aspergilares con fiálides que sólo ocupan la parte superior de la vesícula, las conidias son incoloras y miden 2 a 3 µm. Dr. LJ Méndez Tovar.
Figura 7. Aspergillus flavus. El primoaislamiento (izquierda) generalmente es verde amarillento, en resiembras de cultivos puede adquirir un color biege o amarillento (centro). El estudio microscópico muestra fiálides dispuestas en toda la superficie de la vesícula del conidióforo. Dr. LJ Méndez Tovar.
